An experimental model of liver echinococcosis in laboratory rats to study the effectiveness of anthelmintic drugs
- Authors: Gavrilyuk T.V.1, Saulevich A.V.1, Kozlov S.S.1,2,3, Zaharkiv Y.F.1, Kozlov K.V.1, Turitsin V.S.1,4, Karev V.E.3
-
Affiliations:
- Kirov Military Medical Academy
- Saint-Petersburg State Pediatric Medical University
- Pediatric Research and Clinical Center for Infectious Diseases under the Federal Medical Biological Agency
- Saint-Petersburg State Agrarian University
- Issue: Vol 29, No 3 (2024)
- Pages: 176-183
- Section: Original study articles
- Submitted: 07.03.2024
- Accepted: 30.05.2024
- Published: 18.06.2024
- URL: https://rjeid.com/1560-9529/article/view/628865
- DOI: https://doi.org/10.17816/EID628865
- ID: 628865
Cite item
Abstract
BACKGROUND: The introduction into clinical practice of drug therapy with anthelmintic drugs from the carbamate-benzimidazole group has reduced the need for aggressive surgical interventions in the initial stages of parasitic cyst development. However, no consensus has been reached in which cases and for what size of cysts the use of monotherapy with carbamate benzimidazoles will be sufficient and in which cases a combination of surgical and therapeutic treatment methods is necessary. Experimental studies with human participants are impossible to solve this problem.
AIM: To evaluate the proximity of the developed experimental model of liver echinococcosis to real clinical practice, including the response to the use of carbamate benzimidazoles.
MATERIALS AND METHODS: Modeling of liver echinococcosis in laboratory animals was performed by suturing a part of an echinococcal bladder (Echinococcus granulosus) to the liver capsule. The model provides a high survival percentage of laboratory animals, in which after 60 days a typical hydatid cyst forms in the liver. The effects of albendazole and praziquantel were studied using this echinococcus model. One group of animals (n = 10) received albendazole through an intragastal tube for 28 days and the other (n = 10) received praziquantel for 15 days, after which the animals were autopsied.
RESULTS: When using albendazole, destructive changes were microscopically determined in the structure of the walls of the echinococcal cyst on day 28 of therapy. Similar changes were observed when using praziquantel; however, they were characterized by more massive cellular infiltration of all cyst layers.
CONCLUSIONS: The developed experimental model of liver echinococcosis in laboratory animals allowed us to experimentally examine the effect of various drugs on the larval stages of E. granulosus development and evaluate their effectiveness.
Full Text
BACKGROUND
More than two million new cases of echinococcosis are registered annually worldwide, representing a prevalence of 0.05%–1.5% within the broader context of infectious pathology. In recent years, the incidence of this helminthiasis has notably increased, with prevalence rates reaching 30%–95% in certain countries. The number of cases with complicated forms is increasing, 35%–40% [1, 2], with a mortality rate of 2%–5% [3]. Consequently, echinococcosis is included in the list of the most widespread human helminthic diseases requiring priority elimination by the World Health Organization [4–6].
The epidemiological situation with parasitic diseases in Russia, including echinococcosis, remains challenging. More than 500 cases of this larval helminthiasis are registered in the country annually. In 2021, the incidence increased by 18.75% compared with 2020 and amounted to 0.19 per 100,000 population [7].
The clinical diagnosis of echinococcosis is challenging because of its prolonged latent phase. Consequently, instrumental methods (ultrasonography, computed tomography, etc.) and serologic techniques, which are particularly effective when used in conjunction, are instrumental in establishing a definitive diagnosis [8, 9].
Currently, the primary method of treatment for echinococcosis remains surgical. However, the feasibility of this approach is severely constrained in cases of multiple invasions or inoperable cases [10]. The initial attempts to develop a method of specific chemotherapy for echinococcosis were made in the 1980s, with mebendazole (a drug of the carbamate-benzimidazole group) as the basis for these early investigations. In the late 1990s, the structural analog of mebendazole, albendazole, was widely used in the treatment of echinococcosis. The inefficacy of both oral preparations is largely attributed to their relatively low bioavailability. Attempts to enhance their bioavailability by developing experimental oil dosage forms have not produced the anticipated outcomes. The use of praziquantel as a tissue antihelminthic medication is constrained by the distinctive characteristics of its pharmacokinetics, particularly by its brief half-life and a considerable range of adverse reactions that emerge during prolonged use [11].
However, no unified approach to therapeutic techniques has been established for the management of patients with echinococcosis among surgeons, infectious disease specialists, and physicians of other specialties. The introduction of drug therapy with anthelminthic drugs from the carbamate benzimidazole group into clinical practice has reduced the need for aggressive surgical interventions at the initial stages of parasitic cyst development. Nevertheless, no consensus has been made on whether the use of carbamate benzimidazole monotherapy is sufficient in all cases and at all sizes of cysts or whether a combination of surgical and therapeutic methods of treatment is necessary in some cases. According to several authors, the ineffectiveness of monotherapy is primarily caused by the inability to follow a full course of treatment with albendazole because of the pronounced polymorphism of genes encoding enzymes of albendazole biotransformation and various side effects of the drug. Furthermore, the disease often recurs after surgical intervention not accompanied by subsequent carbamate-benzimidazole therapy.
At present, data derived from clinical studies and proposed experimental models on laboratory animals are insufficient to fully assess the histologic changes in the structure of echinococcal cysts and the viability of the parasites during etiotropic therapy [12]. Thus, we have developed a new, simpler technical execution model of liver echinococcosis in experimental animals, which allows for the assessment of the dynamics of histological changes during therapy with antihelminthic drugs.
This study aimed to evaluate the proximity of the developed experimental model of liver echinococcosis to real clinical practice, including the response to the use of carbamate benzimidazoles.
MATERIALS AND METHODS
The experimental work on animals was approved by the independent Ethics Committee of the Kirov Military Medical Academy (Minutes No. 258, dated December 21, 2021). The maintenance and care of experimental animals were conducted in accordance with the requirements outlined in the Law of the Russian Federation dated May 14, 1993, No. 4979-1, “On Veterinary Medicine”, as well as the recommendations outlined by the Ethics Committee for Conducting Expertise in Biomedical Research.
The study included 30 male Wistar rats, weighing 250±50 g, in which liver echinococcosis was modeled according to the developed method. The experimental hepatic echinococcosis was performed as follows: In the operating room, the animals were anesthetized with Zoletil 100 (tiletamine hydrochloride and zolepam hydrochloride 250 mg each) at a dose of 20 mg/kg body weight. After the onset of anesthesia, the animal’s abdominal and thoracic hairs were shaved off, and the animals were then fixed on the operating table. The surgical field was treated with an antiseptic solution in accordance with the methodology proposed by Filonchikov-Grossikh. The sternum and edge of the right rib arch were then palpated. A midline laparotomy was performed using a scalpel. A portion of the wall of the echinococcal bladder obtained from an echinococcus-affected sheep was placed on the capsule of the right liver lobe ensuring that the germinative layer was adjacent to the capsule. This portion of the larvocyst, measuring approximately 10×10 mm, was fixed to the liver using a ligature with a single suture. The abdominal wound was then sutured tightly.
On the 60th day of the experiment, the formation of a liver cyst was confirmed in all animals by ultrasound examination. After that, the rats were randomly divided into three groups: the first control group (10 rats) and two experimental groups of 10 rats. The animals of the second group were given albendazole suspension intragastrically for 28 days through a tube at a daily dose of 5 mg, which was divided into two doses. To increase bioavailability, 100 mg of liquid butter was added to the drug. The third group received praziquantel suspension, which was prepared from the tablet form of the drug. The drug was administered by intragastric tube at a daily dose of 15 mg in two administrations for 15 days. The study design is presented in Fig. 1.
Рис. 1. Дизайн работы.
During the experiment, all animals were fed a standard rodent diet (Nuvilab CR1s, Brazil) containing 22% protein, 4% fat, and 4% crude fiber, for a total of 290 kcal/100 g. Each animal received 12 g of food per day. At the end of the experiment, the animals were killed, and their livers were extracted for further study. Its fragments with parasitic cysts were fixed in a 10% neutral formalin solution for 24 h. After fixation, they were dehydrated by incubation in isopropyl alcohol and then embedded in paraffin according to the generally accepted method. Paraffin blocks were used to prepare 4-μm thick tissue sections, which were stained with hematoxylin–eosin and Van Gieson picrofuchsin and then placed under coverslips. Histologic preparations were examined under a binocular microscope in transmitted light at total magnifications of ×50, ×200, and ×2000.
RESULTS
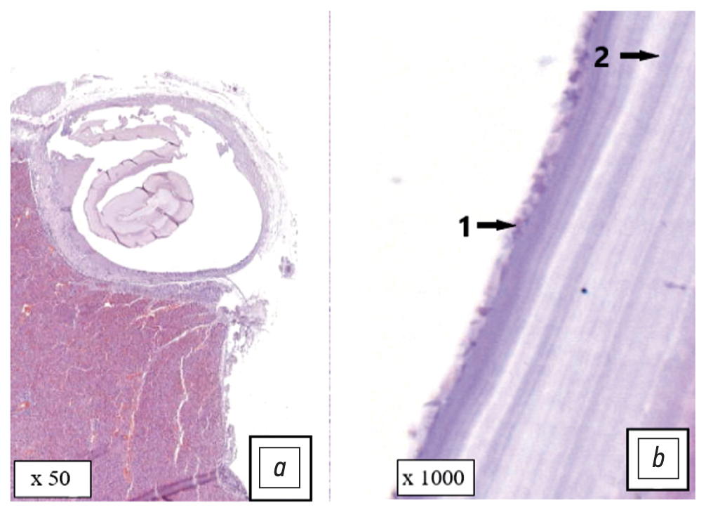
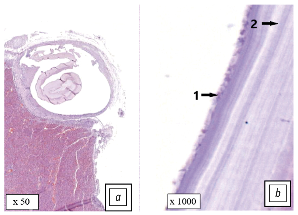
In the first group (n=10, control), without antihelminthic drug treatment, microscopy of histological sections revealed an outer fibrous sheath of a specific structure with an organ-like structure, which contained blood vessels providing nutrient transport to the parasitic cyst. Near the fibrous sheath, inflammatory polymorphocellular infiltration including segmented neutrophils, eosinophils, macrophages, and fibroblasts with occasional lymphocytes, was detected in the liver tissue (Fig. 2).
Рис. 2. Эхинококковая киста с фиброзной и герминативной оболочками: а — эхинококковая киста (увеличение ×50); b — часть кисты с внутренними оболочками (увеличение ×1000): 1 — герминативная оболочка; 2 — кутикулярная оболочка.
Table 1 presents the comparative characteristics of morphologic changes in echinococcal cysts in experimental animals on days 28 and 15 of albendazole and praziquantel treatments, respectively.
Table 1. Morphological characteristics of cysts
Morphological characteristics of cysts | Day 28 of albendazole treatment | Day 15 of praziquantel treatment |
Germinative membrane | Detachment and fragmentation | Severe fragmentation |
Cuticular membrane | Destructive changes | Severe destructive changes |
Fibrous membrane | Perifocal cellular infiltration | Massive cellular infiltration |
Detritus in the cyst cavity | Detritus accumulation | Detritus accumulation |
Protoscolexes | No | No |
Acephalocysts | No | No |
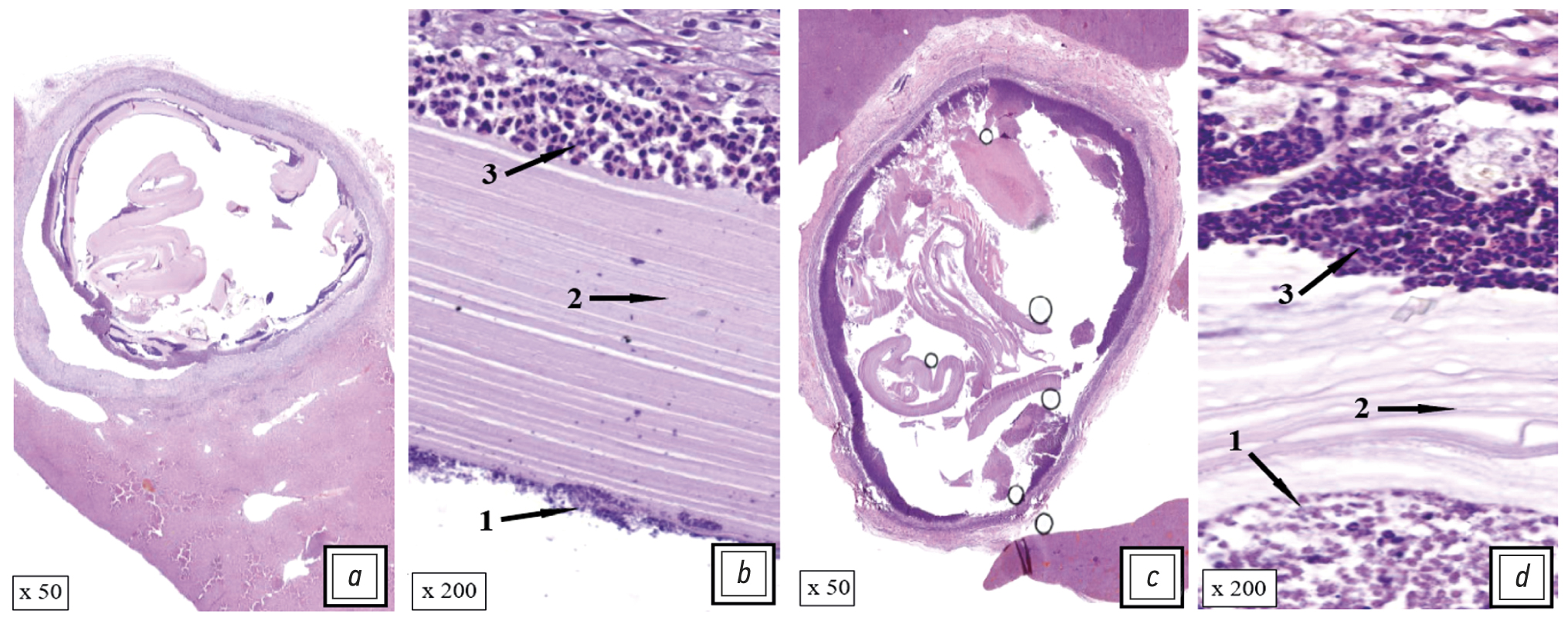
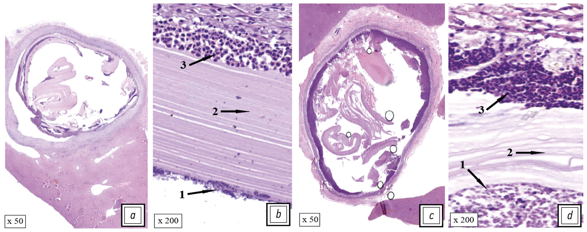
In echinococcal cysts of the liver of the second group (n=10) treated with albendazole, destructive changes in the cuticular and germinative membranes developed on day 88 of the experiment (day 28 of therapy). The histological picture was characterized by germinative membrane detachment and fragmentation, and detrital masses accumulated in the cyst cavity, indicating parasite death. In addition, perifocal cellular infiltration, which was represented by lymphocytes, neutrophils, eosinophils, macrophages, and mast cells, was detected in the fibrous membrane and adjacent tissues (Fig. 3, a, b).
Рис. 3. Деструктивные изменения кутикулярной и герминативной оболочек эхинококковой кисты на фоне терапии албендазолом (a, b) и празиквантелом (c, d): 1 — деструктивные изменения в герминативной оболочке; 2 —деструктивные изменения в кутикулярной оболочке; 3 — массивная лейкоцитарная инфильтрация.
In the echinococcal cysts of the liver of the third group (n=10) treated with praziquantel, destructive changes in the cuticular and germinative membranes were also observed on day 75 of the experiment (day 15 of therapy). However, these changes were more pronounced than in the albendazole group, manifested by more massive leukocytic infiltration and germinative membrane fragmentation (Fig. 3, c, d).
Thus, significant destructive changes in the cuticular and germinal membranes of echinococcal cysts were observed on day 28 of albendazole treatment. When praziquantel was administered as early as day 15, the histological picture was characterized by a more pronounced cellular infiltration of all cyst layers. However, during praziquantel administration, side effects clearly emerged, such as decreased motor activity and hair loss.
DISCUSSION
In the scientific literature, studies have performed experimental modeling of echinococcal cysts by intraperitoneal injection of germinal elements directly into the liver parenchyma or into the vessels supplying blood to the organ. However, common disadvantages include the multistep and complexity of the techniques, longer time of echinococcal cyst modeling, and high lethality in experimental animals [12]. Intravenous or intraperitoneal introduction of germinal elements does not guarantee the formation of an echinococcal cyst. In addition, intravenous or intrahepatic injection of germinal elements in most cases leads to the obstruction of large vessels or organ infarction. In surgery, the use of three-dimensional (3D) technologies in hepatic echinococcosis enables the assessment of the anatomical features of the affected organ and the determination of the localization of the echinococcal bladder, which allows for the selection of the most optimal surgical technique [13]. However, 3D polymer modeling does not allow us to study the morphological changes in echinococcal cysts against treatment using various antihelminthic drugs because it is possible only on a living experimental model.
CONCLUSIONS
The developed model of hepatic echinococcosis does not have any of the abovementioned drawbacks and is simple to execute. This model provides a high survival rate of experimental animals and the formation of parasitic cysts, which allows its use in experimental studies for the evaluation of the effectiveness of various antihelminthic drugs while considering the histological changes in echinococcal cysts.
ADDITIONAL INFORMATION
Funding source. This study was not supported by any external sources of funding.
Competing interests. The authors declare that they have no competing interests.
Authors’ contribution. All authors made a substantial contribution to the conception of the work, acquisition, analysis, interpretation of data for the work, drafting and revising the work, final approval of the version to be published and agree to be accountable for all aspects of the work. T.V. Gavrilyuk — preparation, development and implementation of modeling of liver echinococcosis in laboratory animals; A.V. Saulevich, Yu.F. Zakharkiv, V.S. Turitsin — participation in the development and practical assistance in modeling liver echinococcosis in laboratory animals; S.S. Kozlov, K.V. Kozlov — editing research materials; V.E. Karev — production of histological preparations and their description.
About the authors
Timofey V. Gavrilyuk
Kirov Military Medical Academy
Author for correspondence.
Email: Gtv-25@mail.ru
ORCID iD: 0000-0001-7102-0672
SPIN-code: 9515-3727
Russian Federation, Saint Petersburg
Andrey V. Saulevich
Kirov Military Medical Academy
Email: saulevich_andrei@mail.ru
ORCID iD: 0000-0001-6756-3105
SPIN-code: 9356-8410
MD, Cand. Sci. (Medicine)
Russian Federation, Saint PetersburgSergey S. Kozlov
Kirov Military Medical Academy; Saint-Petersburg State Pediatric Medical University; Pediatric Research and Clinical Center for Infectious Diseases under the Federal Medical Biological Agency
Email: infectology@mail.ru
ORCID iD: 0000-0003-0632-7306
SPIN-code: 5519-6057
MD, Dr. Sci. (Medicine), Professor
Russian Federation, Saint Petersburg; Saint Petersburg; Saint PetersburgYuri F. Zaharkiv
Kirov Military Medical Academy
Email: zufbiology@gmail.com
ORCID iD: 0000-0002-3453-7557
SPIN-code: 6541-9803
MD, Cand. Sci. (Medicine), Assistant Professor
Russian Federation, Saint PetersburgKonstantin V. Kozlov
Kirov Military Medical Academy
Email: kosttiak@mail.ru
ORCID iD: 0000-0002-4398-7525
SPIN-code: 7927-9076
MD, Dr. Sci. (Medicine), Assistant Professor
Russian Federation, Saint PetersburgVladimir S. Turitsin
Kirov Military Medical Academy; Saint-Petersburg State Agrarian University
Email: turicin_spb@mail.ru
ORCID iD: 0000-0001-9066-0026
SPIN-code: 2022-1869
Cand. Sci. (Biology), Assistant Professor
Russian Federation, Saint Petersburg; Saint PetersburgVadim E. Karev
Pediatric Research and Clinical Center for Infectious Diseases under the Federal Medical Biological Agency
Email: vadimkarev@yandex.ru
ORCID iD: 0000-0002-7972-1286
SPIN-code: 7503-3253
MD, Dr. Sci. (Medicine)
Russian Federation, Saint PetersburgReferences
- Zarivchatskiy MF, Mugatarov IN, Kamenskikh ED, Kolyvanova MV, Teplykh NS. Surgical treatment of liver echinococcosis. Perm Medical Journal. 2021;38(3):32–40. (In Russ.) doi: 10.17816/pmj38332-40
- Gorbachev DS, Kulikov AN, Kozlov SS, et al. Clinical Case of Echinococcosis of the Orbit. Modern Approaches to Diagnosis and Treatment. Ophthalmology in Russia. 2022;19(1):215–228. (In Russ.) doi: 10.18008/1816-5095-2022-1-215-228
- Akbarov MM, Ruzibaev RYu, Sapaev DSh, Ruzmatov PYu, Yakubov FR. Modern approaches in the prevention and treatment of liver echinococcosis. Problems of Biology and Medicine. 2020;120(4): 12–18. (In Russ.) doi: 10.38096/2181-5674.2020.4.00181
- The European Union summary report on trends and sources of zoonoses, zoonotic agents and food-borne outbreaks in 2017. EFSA Journal. doi: 10.2903/j.efsa.2018.5500
- World Health Organization: Echinococcosis [Internet]. 2021. Available from: https://www.who.int/ news-room/fact-sheets/detail/echinococcosis/
- On the state of sanitary and epidemiological well-being of the population in the Russian Federation in 2021: State Report. Moscow: Federal Service for Supervision of Consumer Rights Protection and Human Welfare; 2022. 233 p. (In Russ.)
- Arakelyan RS, Shendo GL, Maslyaninova AE, et al. Serological Research Methods in the Diagnosis of Parasitic Diseases. International Research Journal. 2021;(8-2(110)):78–82. (In Russ.) doi: 10.23670/IRJ.2021.110.8.051
- Wen H, Vuitton L, Li J, et al. Echinococcosis: advances in the 21st century. Clinical Microbiology Reviews. 2019;32(2):e00075-18. doi: 10.1128/CMR.00075-18
- Ikramov RZ, Zhavoronkova OI, Botiraliev ASh, et al. Modern treatment of the liver echinococcosis. Vysokotekhnologicheskaya meditsina. 2020;7(2):14–27. (In Russ.) EDN: MVGWUE
- Flohr C, Tuyen LN, Lewis S, et al. Low efficacy of mebendazole against hookworm in Vietnam: two randomized controlled trials. Am J Trop Med Hyg. 2007;76(4):732–736.
- Shkolyar NA. Development of new methods of experimental chemotherapy for larval echinococcosis [abstract of dissertation]. Moscow; 2015. 22 p. (In Russ.) EDN: ZPNYZH
- Patent RUS №2222052, МПК G09B 23/28, 2000.01. Method of modeling solitary echinococcosis of the liver in experiment. Applicant: Dagestan State Medical Academy. (In Russ.)
- Gerasimenko IN. Improvement of operative and conservative treatment of abdominal echinococcosis in children [dissertation]. Stavropol; 2022. 239 p. (In Russ.) EDN: STHPNZ
Supplementary files






