A case of amebiasis with multiple liver abscesses: A way to diagnosis
- Authors: Burgasova O.A.1, Lebedev S.S.2,3, Klimova I.A.1
-
Affiliations:
- Peoples’ Friendship University of Russia named after Patrice Lumumba
- S.P. Botkin City Clinical Hospital
- Russian Medical Academy of Continuous Professional Education
- Issue: Vol 29, No 4 (2024)
- Pages: 309-316
- Section: Case reports
- Submitted: 17.09.2023
- Accepted: 24.07.2024
- Published: 10.09.2024
- URL: https://rjeid.com/1560-9529/article/view/582012
- DOI: https://doi.org/10.17816/EID582012
- ID: 582012
Cite item
Abstract
Amebiasis is a protozoal disease common for tropical countries. It is not frequently diagnosed in Central Russia, and is mainly seen in travelers, people with immunodeficiency, as well as in men who have sex with men. The main manifestation of the disease is intestinal damage with the development of diarrhea. With the hematogenic spread of the pathogen, extra-intestinal lesions of different organs may develop with the formation of abscesses in them. The liver, lungs, brain, and skin are most often involved in the inflammatory process. In this article, we describe a case of extrahepatic amebiasis with multiple liver abscesses, which presented difficulties in diagnosis. We provide details of observation and key laboratory findings as well as results of radiological examinations. Appearance of imported amebiasis in the Moscow region proves its actual importance and significance of timely diagnosis and etiotropic therapy. The aim of the article is to draw attention to the problem of diagnosis and prophylaxis of amebiasis in Central Russia as a result of migration and tourism to endemic territories.
Keywords
Full Text
INTRODUCTION
Currently, amebiasis is one of the most prevalent parasitic infections in Asia, Europe, and America. In the developed countries, amebiasis primarily affects migrants, travelers, and immunocompromised patients. Moreover, epidemiological studies have reported an increasing prevalence of amebiasis among homosexual males. In Russia, this infection is primarily documented in the southern regions of the country. E.g., amebiasis is considered endemic in Dagestan, with a high prevalence of extraintestinal forms. The incidence of amebiasis is also significant in the neighboring countries, such as Armenia, Georgia, Turkmenistan, and Kyrgyzstan [1–3]. The increasing popularity of Asia as a tourist destination has significant implications for Russian megacities such as Moscow and Saint Petersburg. It is therefore crucial for medical professionals to maintain an awareness of this disease.
Amebiasis is a protozoal anthroponosis with fecal-oral transmission induced by Entamoeba histolytica. The infection may be associated with the occurrence of colon ulcers. Invasive amebiasis causes the formation of amebic abscesses in the liver, lungs, brain, and other organs. Extraintestinal amebiasis accounts for approximately 10% of all cases [4] and is most prevalent among males between the ages of 40 and 50 years, particularly in cases complicated by amebic liver abscesses [5]. The disease has also been documented in individuals who have never visited endemic regions, suggesting the potential for the transmission via oral-anal sexual contact [6]. The incubation period for extraintestinal amebiasis is reported to be between 8 and 20 weeks, although there are documented cases that have manifested for periods of up to ten years [8]. As a rare disease in non-endemic regions, extraintestinal amebiasis remains a diagnostic challenge [4, 9, 10]. The diagnosis is based on the laboratory findings, including serological tests, with most patients showing high titers of anti-E. histolytica antibodies. Unfortunately, the diagnostic value of serology is limited in endemic regions, as the results cannot distinguish between acute and prior disease. In the majority of cases, the parasite cannot be identified in the fecal matter [11]. The detection of trophozoites in biopsy material from abscesses occurs in only 20% of cases, with the majority of invading trophozoites being identified primarily at the periphery of lesions [12]. The analysis of aspirate samples by molecular biological methods, specifically the polymerase chain reaction (PCR), yielded accurate results [13].
CASE DESCRIPTION
A 50-year-old male patient was referred to the hospital on the 6th day of illness by a general practitioner. He presented with a fever reaching up to 40.0°C, shivering, sudden weakness, excessive sweating, and an occasional, non-productive cough. From the onset of the disease, Kagocel, Tilorone, paracetamol + phenylephrine + [ascorbic acid] were initiated. One day prior to admission, the patient started amoxicillin + clavulanic acid and mucolytics. However, these treatments proved to be ineffective. The patient was seen on several occasions by emergency physicians, who diagnosed acute respiratory disease based on the severity of the symptoms presented.
Epidemiological history. Four weeks prior to the onset of the disease, i.e. in December, the patient traveled to Dubai, United Arab Emirates. Over a 4-day period, he experienced intestinal symptoms (reduced appetite, loose stool up to 5 times) and shivering. He did not seek medical attention, and the symptoms resolved spontaneously. In late December, he returned to Moscow and subsequently traveled to Mordovia, where he stayed in the private residence of his relatives.
The patient denied any contact with infectious patients and reported no history of parenteral exposure. Concomitant diseases: arterial hypertension and chronic gastritis.
Physical, laboratory, and instrumental findings
Upon admission, the patient’s condition was assessed as being of moderate severity. The primary symptoms observed were shivering, headache, and high temperature. The physical examination demonstrated a body temperature of 38.0°C, the clear and slightly moist skin with no observable rash. The oropharyngeal mucosa was slightly hyperemic; no enanthema was visible on the mucous membranes. The cervical and other lymph nodes were observed to be intact, small in size, and mobile. On auscultation, there were bilateral, small bubbling rales in the lower lungs, most prevalent on the left side, and dull sounds on percussion. A decrease in respiratory function was observed on the left side. The respiratory rate was recorded at 24/min. The patient’s heart tones were clear and rhythmic. The patient’s heart rate was 120 bpm, and the blood pressure was 110/70 mm Hg. The patient’s tongue was coated with a white layer. The abdomen showed slight distension and was tender to palpation in the upper right quadrant. The liver edge was found to be soft and tender, and was palpable at 2 cm below the right costal margin. There were no peritoneal symptoms. The spleen was not palpable. The patient’s diuresis was normal. The stool was free from any visible foreign matter, and the patient reported occasional difficulty with stools. No meningeal or focal neurological signs were observed.
Conclusion: acute respiratory viral infection, suspected influenza. Left-sided pneumonia.
Blood tests: malaria (negative); HIV, syphilis, epidemic hemorrhagic fever, leptospirosis, legionellosis (negative); indirect hemagglutination test using the diagnostic agents for typhus and typhoid fever (negative); hepatitis A, B, C, D and E (negative). Urine and blood cultures: sterile. The PCR was negative for cytomegalovirus, Epstein-Barr virus, and human herpesvirus 6 in oropharyngeal samples. The results of the blood test demonstrated the presence of IgG antibodies to Chlamydia pneumoniae, but not IgM antibodies to Chlamydia pneumoniae or Mycoplasma pneumoniae. The stool ova and parasites exam was negative. The laboratory results are shown in Tables 1–3.
Table 1. Dynamic change of complete blood count parameters
Test | Day of disease | |||||
6 | 11 | 13 | 15 | 17 | 19 | |
Hemoglobin, g/L | 134 | 117 | 102 | 108 | 108 | 102 |
RBC, ×1012/L | 4.22 | 3.72 | 3.19 | 3.39 | 3.52 | 3.22 |
Platelets, ×109/L | 235 | 272 | 158 | 157 | 183 | 225 |
WBC, ×109/L | 21.1 | 17.5 | 21.3 | 24.7 | 17.9 | 13.6 |
Band neutrophils, ×109/L | 1.48 | 14.98 | 3.41 | 5.93 | 1.61 | 0.54 |
Segmented neutrophils, ×109/L | 15.82 | 14.68 | 13.2 | 14.32 | 10.88 | |
Eosinophils, ×109/L | 0.42 | 0.18 | 0.21 | 0.49 | – | 0.82 |
Basophils, ×109/L | – | 0.96 | – | – | – | – |
Lymphocytes, ×109/L | 1.9 | 0.67 | 1.07 | 0.03 | 1.79 | 0.54 |
Monocytes, ×109/L | 1.48 | 0.72 | 1.07 | 1.2 | 0.36 | 0.82 |
ESR, mm/ч | 18 | – | – | – | – | – |
Juvenile, ×109/L | – | – | Juvenile: 0.64 | Juvenile-1: 0.25 | – | – |
Table 2. Dinamic change of biochemical blood parameters
Test | Norm | Day of disease | |||||
6 | 11 | 13 | 15 | 17 | 19 | ||
Total protein, g/L | 64–83 | 59.8 | 52.6 | 44.3 | 52.4 | 54.8 | 54.4 |
Total bilirubin, µmol/L | 3–17 | 13.7 | 9.0 | 13.3 | 9.4 | 10.9 | 12.1 |
Direct bilirubin, µmol/L | 0–3.4 | – | 6.3 | 7.6 | 2.0 | – | – |
Alanine aminotransferase, U/L | 3–41 | 50.0 | 114.3 | 83.7 | 75.5 | 124.4 | 71.7 |
Aspartate aminotransferase, U/L | 2–37 | 63.0 | 219.9 | 125.0 | 103.2 | 186.7 | 80.0 |
Alkaline phosphatase, U/L | 1–115 | 116.9 | 158.0 | 147.4 | 180.1 | 163.7 | 118.9 |
Gamma-glutamyl transpeptidase, U/L | 9–50 | 58.0 | 67.8 | 69.1 | 122.5 | 141.7 | – |
Glucose, mmol/L | 3.9–5.8 | 6.3 | 5.6 | 6.1 | 4.8 | – | 4.6 |
Urea, mmol/L | 2.5–8.5 | 14.3 | 27.0 | 23.4 | 15.0 | 10.0 | 9.9 |
Creatinine, µmol/L | 53–115 | 163.0 | 242.0 | 189.8 | 111.0 | 70.7 | 83.8 |
Amylase, U/L | 28–100 | 25.1 | 16.0 | 19.9 | 36.1 | 68.6 | 76.1 |
Procalcitonin, ng/mL | <0.5 | – | – | – | 8.6 | 5.5 | <0.5 |
Table 3. Dynamics of coagulation parameters
Test | Day of disease | ||||
11 | 13 | 15 | 17 | 19 | |
Activated partial thromboplastin time, s | 27.6 | 27.0 | 32.2 | 30.3 | 35.3 |
Prothrombin index, % | 41.4 | 42.0 | 44.4 | 51.2 | – |
Fibrinogen, g/L | 17.9 | 5.6 | 17.0 | 4.4 | – |
Thrombin time, s | – | – | 9.5 | 15.6 | – |
International normalized ratio | 1.8 | 1.7 | 1.8 | 1.5 | – |
D-dimer, ng/mL | – | – | – | – | 4397.0 |
A chest X-ray performed on admission showed evidence of left lower lobe pneumonia and discoid atelectasis. A third-generation cephalosporin was initiated. The treatment resulted in a slight reduction in body temperature and the improvement of the patient’s symptoms. However, on the 4th day of therapy, the patient reported abdominal discomfort, distention, and constipation. A cleansing enema and laxatives proved to be ineffective, and the patient experienced a buildup of trapped gas.
Despite the treatment, the patient’s condition continued to worsen over the following 9 days. The patient exhibited a recurrence of pyretic fever accompanied by auscultative changes in the right lung lower lobe, including dull sounds on percussion and a decrease in respiratory function with respiratory failure. Additionally, the patient experienced symptoms of intoxication and hemodynamic instability. Liver cell failure and impaired hepatic protein synthesis were observed, as evidenced by a total protein level of 44.3 g/L and a prothrombin index of 41.4%. The variability in fibrinogen levels could be attributed to the effects of concomitant glucocorticosteroids and fluid replacement therapy. A reduction in cholesterol and international normalized ratio levels was observed. Moderate cytolysis was evidenced by alanine aminotransferase levels of 50–114.3 U/L and aspartate aminotransferase levels of 63.0–219.9 U/L. No jaundice syndrome was documented (see Table 2). The complete blood count (CBC) showed significant leukocytosis and aneosinophilia, along with relative and absolute basophilia indicative of a severe inflammatory process. The follow-up chest X-ray showed the elevated diaphragm, left-sided pleural effusion, bilateral focal pneumonia, and discoid atelectasis in the right lower lobe basal segment. On the same day, i.e., the 11th day of the disease, the abdominal ultrasound demonstrated the enlarged hepatic parenchyma with diffuse changes, the enlarged spleen, and significant intra-abdominal gas accumulation. No liver abscesses were detected. Echocardiography showed pericardial effusion. On the 15th day, the patient was transferred to the resuscitation unit for artificial pulmonary ventilation. This was due to the onset of respiratory failure (oxygen saturation prior to oxygen support was 80%), confusion, and disorientation.
Following a 3-day period of artificial pulmonary ventilation, the patient was successfully weaned from the ventilator and able to resume breathing independently. The patient’s condition was assessed via a physical examination, which showed severe symptoms with persistent pyretic fever. However, the patient remained cooperative and oriented to person, place, and time. The skin was clear with no observable rash. Pulmonary respiration is significantly impaired, with a clear dominance on the right side. The heart tones were found to be muffled, without the presence of murmurs. The patient’s blood pressure was recorded at 100/70 mm Hg, and a heart rate of 88 bpm was observed. The abdomen was distended due to the presence of significant gas accumulation. Dull percussion sounds in the lateral lungs were reported. The liver was palpable at 4 cm below the costal margin. The splenic edge was palpable. The patient experienced constipation. No disuric symptoms were reported. No meningeal or focal neurological signs were observed.
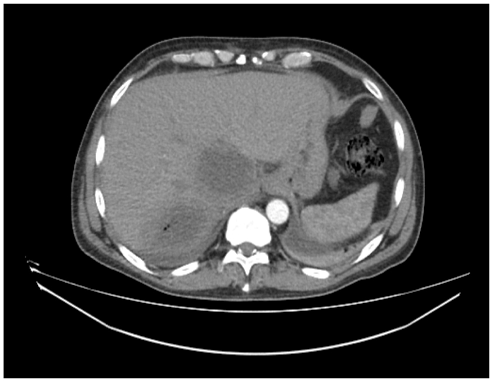
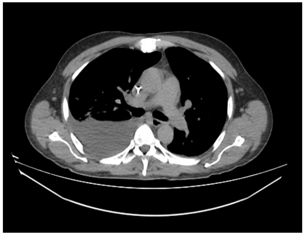
On the 19th day of illness, a non-enhanced computed tomography (CT) of the chest and abdomen was conducted because the patient’s condition had not improved despite the administration of various therapeutic agents, including antibacterials (levofloxacin, vancomycin, and meropenem) and human immunoglobulins. Bilateral ground-glass opacity and right-sided partial atelectases in the lower and median lobes were visualized on CT scans. The 50×72×70-mm abscesses were detected in the hepatic segment 6 (S6). A similar 61×47×65-mm lesion was found in the S5 segment. The fluid was visualized in the pelvis (up to 47 mm) and in the lesser sac (179×69 mm; Figures 1 and 2).
Fig. 1. Computed tomography of the abdominal cavity.
Fig. 2. Computed tomography of the chest.
The preliminary diagnosis included community-acquired pneumonia; septicemia associated with liver abscesses; right-sided pleurisy; right lung atelectasis; liver cell failure; respiratory failure.
However, an epidemiological history and a history of intestinal infection one month prior to the onset of the disease suggested the possibility of amebiasis. Metronidazole ex juvantibus was initiated. Based on the additional examination findings, an ultrasound-guided percutaneous transhepatic drainage of the liver abscesses was conducted using a 10-Fr pigtail catheter (a negative serosanguinous fluid culture and neutrophil destruction by microscopy). The presence of anti-E. histolytica antibodies in the blood was confirmed through indirect immunofluorescence, which demonstrated an increase in antibody titer from 1/80 on day 19 to 1/160 on day 34. As the enzyme immunoassay was not readily available, the diagnostic tests were conducted at the Martsinovsky Institute of Medical Parasitology and Tropical Medicine.
On the 24th day, the follow-up multislice CT of the chest and abdomen showed no signs of liver enlargement and the normal parenchymal density. A hypodense lesion with gas inclusions was observed in the S6 segment, with a poor contrast accumulation within a 51×70×75-mm capsule. A similar 59×46×62-mm lesion was visualized in the S5 segment. The intrahepatic bile ducts and vessels were not dilated. The capsule is not typical for amebic liver abscesses. However, the available literature has reported previous cases of these lesions [14].
Compressive atelectasis was observed in the right lung. Right-sided ground-glass opacities were visualized in the S2 and S3 segments, which also exhibited the presence of higher-density linear opacities adhesively attached to the costal pleura. A linear fibrotic band was visible in the S5 segment on CT scans. The patient demonstrated right-sided pleural effusion exhibiting a probability of encapsulation. In the right lower lobe, there were visible compressive changes, which suggested the possibility of an inflammatory infiltration.
Follow-up and outcomes
At 2.5 months from the onset of the disease, the follow-up multislice CT of the chest and abdomen demonstrated a reduction in the size of abscesses, with no gas inclusions in the hepatic lesions. Furthermore, improvements were observed in the pulmonary system, including regression of bilateral pneumonia, reduction in the size of the lesions, closure of the pulmonary cavities, and a decrease in the volume of the right-sided hydrothorax. Bilateral pulmonary fibrosis was reported.
DISCUSSION
This clinical case provides an illustrative example of diagnostic challenges. As with any rare infection, the epidemiologic history is the most crucial factor in successful diagnosis. The epidemiologic history provides essential information that facilitates the early suspicion of amebiasis and encourages prompt additional examinations, including a triple feces (or other biologic substrates) test to detect Charcot–Leyden crystals that can evidence a parasitic disease; coprology and microscopy for vegetative forms of E. histolytica. A definitive diagnosis may be based on serological testing for anti-E. histolytica antibodies and E. histolytica IgG enzyme immunoassays. Monoclonal antibodies may be used to detect E. histolytica DNA in feces or other biological substrates [1, 3, 13, 15].
The prevention of amebiasis and its associated complications can be achieved through the educational activities targeted at individuals visiting endemic regions in subtropical and tropical countries. It is of significant importance to ensure compliance with the applicable hygienic norms when consuming water and food that may have been cooked in water. It is recommended that vegetables be soaked in a detergent solution or vinegar for 15 min. It is particularly crucial to perform medical tests for the decreed groups, including public catering workers, private farm workers, and kitchen workers in restaurants and hotels, etc.
CONCLUSION
The diagnosis of extraintestinal amebiasis in clinical practice represents a significant challenge due to the low incidence of the disease, which not only extends the diagnostic process but also increases the financial burden. In this context, enhancing the awareness of medical professionals, particularly in non-endemic regions, is one of the most effective strategies [9, 10]. The diagnosis is based on the integration of clinical and epidemiologic data with laboratory and instrumental findings.
The differential diagnosis of amebiasis may include helminthiasis and bacterial gastrointestinal infections (intestinal schistosomiasis, trichocephalosis, shigellosis, campylobacteriosis, colibacillosis, yersiniosis, and echinococcosis), colon cancer, ulcerative colitis, Crohn’s disease, and pseudomembranous colitis [10]. In contrast to pyogenic liver abscesses, the risk group for amebic abscesses includes middle-aged males who have traveled to endemic regions. Laboratory findings may not show elevated bilirubin or a left shift.
The management of extraintestinal amebiasis may entail the administration of metronidazole and the abscess aspiration. Tissue-targeted drugs may be combined with antiparasitic drugs used for the eradication of E. histolytica from the intestine. Luminal amebicides have been demonstrated to be effective against amebas that are not detected in the intestine [16].
ADDITIONAL INFORMATION
Funding source. This article was not supported by any external sources of funding.
Competing interests. The authors declare that they have no competing interests.
Authors’ contribution. All authors made a substantial contribution to the conception of the work, acquisition, analysis, interpretation of data for the work, drafting and revising the work, final approval of the version to be published and agree to be accountable for all aspects of the work. O.A. Burgasova — literary data analysis, scientific editing of the manuscript; S.S. Lebedev — review and approval of the final version of the manuscript; Iu.A. Klimova — writing the manuscript, collecting literary data, literary data analysis.
Consent for publication. Written consent was obtained from the patient for publication of relevant medical information and all of accompanying images within the manuscript in Epidemiology and Infectious Diseases journal.
About the authors
Olga A. Burgasova
Peoples’ Friendship University of Russia named after Patrice Lumumba
Email: oburgasova@mail.ru
ORCID iD: 0000-0002-5486-0837
SPIN-code: 5103-0451
MD, Dr. Sci. (Medicine), Professor
Russian Federation, 8 Mikluho-Maklaya street, 117198 MoscowSergei S. Lebedev
S.P. Botkin City Clinical Hospital; Russian Medical Academy of Continuous Professional Education
Email: lebedevssd@yandex.ru
ORCID iD: 0000-0001-5366-1281
SPIN-code: 2736-0683
MD, Cand. Sci. (Medicine), Assistant Professor
Russian Federation, 125284 Moscow; 125993 MoscowIuliia A. Klimova
Peoples’ Friendship University of Russia named after Patrice Lumumba
Author for correspondence.
Email: yua_klimova@rudn.ru
ORCID iD: 0000-0001-8936-721X
SPIN-code: 8821-5492
MD, Cand. Sci. (Medicine)
Russian Federation, 8 Mikluho-Maklaya street, 117198 MoscowReferences
- Clinical recommendations (treatment protocol) for the provision of medical care to children with amebiasis. 2013. 66 p. Available from: http://niidi.ru/dotAsset/144a99cc-dcc1-443a-a862-d217a596d684.pdf (In Russ.)
- Tokmalaev A.K., Kozhevnikova G.M. Clinical parasitology: protozoa and helminthiasis. Textbook. Moscow: MIA; 2010. 432 p. (In Russ.)
- Shirley DT, Farr L, Watanabe K, Moonah S. A Review of the Global Burden, New Diagnostics, and Current Therapeutics for Amebiasis. Open Forum Infect Dis. 2018;5(7):ofy161. doi: 10.1093/ofid/ofy161
- Glutkina NV, Kulaga EYa, Zinchuk VV. Amebiasis: features of diagnosis in various forms of lesion (clinical case). Vestnik of Smolensk State Medical Academy. 2022;21(3):115–123. (In Russ.) doi: 10.37903/vsgma.2022.1.14
- Salles JM, Salles MJ, Moraes LA, Silva MC. Invasive amebiasis: an update on diagnosis and management. Expert Rev Anti Infect Ther. 2007;5(5):893–901. doi: 10.1586/14787210.5.5.893
- Billet AC, Salmon Rousseau A, Piroth L, Martins C. An underestimated sexually transmitted infection: amoebiasis. BMJ Case Rep. 2019;12(5):e228942. doi: 10.1136/bcr-2018-228942
- Knobloch J, Mannweiler E. Development and persistence of antibodies to Entamoeba histolytica in patients with amebic liver abscess. Analysis of 216 cases. Am J Trop Med Hyg. 1983;32(4): 727–732. doi: 10.4269/ajtmh.1983.32.727
- Dhariwal A, Youngs J, San Francisco A, Bicanic T. Late presentation of amoebic liver abscess. Lancet Infect Dis. 2020;20(2):259. doi: 10.1016/S1473-3099(19)30555-9 Erratum in: Lancet Infect Dis. 2020;20(4):e50. doi: 10.1016/S1473-3099(20)30127-4
- Akhmedova EF, Galyavin AV, Zotov AV. Challenging diagnosis of amebiasis in a non-endemic region: a clinical case. Almanac of Clinical Medicine. 2023;50(6):408–413. (In Russ.) doi: 10.18786/2072-0505-2022-50-026
- Yurchenko IN, Dyachkov VA, Fatenkov OV, et al. Clinical case of amoebic ulcerative colitis. Modern Problems of Science and Education. 2020;(6). (In Russ.) doi: 10.17513/spno.30376
- Pritt BS, Clark CG. Amebiasis. Mayo Clin Proc. 2008;83(10): 1154–1160. doi: 10.4065/83.10.1154
- Salata RA, Ravdin JI. The interaction of human neutrophils and Entamoeba histolytica increases cytopathogenicity for liver cell monolayers. J Infect Dis. 1986;154(1):19–26. doi: 10.1093/infdis/154.1.19
- Saidin S, Othman N, Noordin R. Update on laboratory diagnosis of amoebiasis. Eur J Clin Microbiol Infect Dis. 2019;38(1):15–38. doi: 10.1007/s10096-018-3379-3
- Kazymov BI, Svishcheva PO, Olkhovskaya MV, et al. Amoebic liver abscess: description of the clinical case. Bulletin of the Medical Institute “REAVIZ” (REHABILITATION, DOCTOR AND HEALTH). 2023;13(4):109–112. (In Russ.) doi: 10.20340/vmi-rvz.2023.4.CASE.1
- Ivanova MA, Karpov IA. Amebiasis. Educational and methodological guide. Minsk: BGMU; 2005. 19 p. (In Russ.)
- Ghosh JK, Goyal SK, Behera MK, et al. Efficacy of aspiration in amebic liver abscess. Trop Gastroenterol. 2015;36(4):251–255. doi: 10.7869/tg.299





