The course of COVID-19 with the development of “shock organs — lungs and heart”
- Authors: Alpidovskaya O.V.1
-
Affiliations:
- Chuvash State University named after I.N. Ulyanov
- Issue: Vol 28, No 5 (2023)
- Pages: 331-336
- Section: Case reports
- Submitted: 14.06.2023
- Accepted: 31.07.2023
- Published: 05.11.2023
- URL: https://rjeid.com/1560-9529/article/view/492322
- DOI: https://doi.org/10.17816/EID492322
- ID: 492322
Cite item
Abstract
The article presents a clinical and morphological description of a case involving death upon admission to a hospital, marked by developed sepsis and septic shock caused by the addition of bacterial flora. It also presents a clinical and morphological description of the development of “shock organs — lungs and heart” after infection with SARS-CoV-2.
A 38-year-old patient was hospitalized diagnosed with severe coronavirus infection, leading to shock. Complications arising from the underlying disease included bilateral viral interstitial pneumonia. Virological analysis of throat and nose swap samples confirmed SARS-CoV-2 coronavirus RNA. The patient’s condition, evaluated on the NEWS2 scale, scored 18 points. C-reactive protein levels were measured at 117 mg/l, and procalcitonin level was 9 ng/ml. Despite treatment efforts, the patient did not survive. Sectional examination in the lungs showed focal atelectasis of various sizes, edema with a large number of red blood cells. In the alveoli, there are fibrin threads and “hyaline membranes” — blood stasis in the microcirculatory bed. In the heart, uneven blood filling in vessels, subendocardial hemorrhages, dystrophic and necrobiotic changes in cardiomyocytes, small foci of necrosis, fragmentation of cardiomyocytes, and intermuscular edema were noted. In the described case, the patient developed an infectious-toxic shock with severe changes in the lungs and heart attributed to a SARS-CoV-2 infection. These changes were intensified because of the addition and activation of bacterial flora due to a violation of the barrier function of the lung epithelium, leading to its complete destruction.
Full Text
АКТУАЛЬНОСТЬ
У тяжелобольных пациентов после инфицирования SARS-CoV-2 чаще отмечалась недостаточность одного органа (респираторная недостаточность), но у некоторых из них происходило прогрессирование процесса с развитием тяжёлого синдрома системного воспалительного ответа вплоть до полиорганной недостаточности и шока [1–7]. Тяжёлые осложнения в виде сепсиса и шока у пациента возникают не из-за инфекции COVID-19, а в результате присоединения бактериальной флоры.
Уровень смертности от шока остаётся высоким и составляет примерно 38%. При септическом шоке возникает цитокиновый и тромботический шторм. Активация Т-хелперов в условиях тяжёлого шока, вызванного синдромом системного воспалительного ответа, подразумевает дисбаланс Т1/Т2-иммунного ответа с преобладанием провоспалительного Т1-хелперного ответа с гиперпродукцией провоспалительных цитокинов [1–2, 7]. Несмотря на наметившуюся тенденцию к уменьшению случаев COVID-19, проблема продолжает сохраняться. Представляется клинический случай развития «шоковых органов – лёгких и сердца» на фоне инфекции COVID-19.
ОПИСАНИЕ СЛУЧАЯ
Больной Г.П., 38 лет, в течение нескольких часов 10.06.2023 находился на стационарном лечении в БУ «Новочебоксарская городская больница» Минздрава. Жалоб при поступлении не предъявлял ввиду тяжести заболевания, выраженных когнитивных нарушений. Из анамнеза заболевания: в течение нескольких недель отмечал повышение температуры тела до 37,1–37,4 °C, за медицинской помощью не обращался. В последние несколько дней (до предшествующей госпитализации) температура достигала 38,6–38,9°C. Принимал обезболивающие и жаропонижающие средства. На диспансерном наблюдении не находился, хронические заболевания со стороны сердечно-сосудистой системы отрицал.
Результаты лабораторного и инструментального исследования
Объективный осмотр. Общее состояние — тяжёлое. Нормостенического типа телосложения. Кожа цианотичная, покрыта липким холодным потом. Двигательная активность практически отсутствует, реакция на боль слабая. Тоны сердца глухие, пульс на периферических артериях резко ослаблен. Частота сердечных сокращений — 159 в мин; частота дыхательных движений — 26 в мин; дыхание поверхностное. Артериальное давление — 68/40 мм рт.ст. Температура тела — 38,2 °С. Лимфатические узлы не увеличены, безболезненны, не спаяны между собой и с подлежащими тканями. Сатурация (SpO2) — 65%. В лёгких при аускультации выслушиваются разнокалиберные сухие хрипы; зоны амфорического дыхания. Живот при пальпации безболезненный. Оценка состояния по шкале NEWS2 — 18 баллов.
Общий анализ крови: лейкоциты: 2,7 (3,39–8,86)×109/л; нейтрофилы: 7,60 (1,50–5,00)×109/л; процент нейтрофилов: 82,0 (40,2–71,4)%; лимфоциты: 0,7 (1,05–2,87)×109/л; процент лимфоцитов: 18,0 (21,6–49,0)%; сегментоядерные нейтрофилы: 75 (47–72)%; палочкоядерные нейтрофилы: 8 (1–6)%; СОЭ: 88,0 (0,0–35,0) мм/ч.
Биохимический анализ крови: С-реактивный белок: 97 (0–6) мг/л; прокальцитонин: 9 (0–0,064) нг/мл; D-димер: 479,00 (0,00–440,00) нг/мл.
Компьютерная томография органов грудной клетки: признаки двусторонней вирусной интерстициальной пневмонии, с площадью поражения 74% и участками консолидации. Результат вирусологического исследования мазка из зева и носа: РНК коронавируса SARS-CoV-2 обнаружена. Электрокардиограмма: ритм синусовый, 160 ударов в мин; горизонтальное положение ЭОС; зубец Т в аVL отрицательный 1,0 мм; QТ — 0,36 с; косовосходящая депрессия сегмента ST в V6 1,0 мм.
Несмотря на проводимое лечение (ванкомицин в дозе 1000 мг в/в каждые 8 ч, гепарин натрия в дозе 5000 МЕ/мл – 1 мл 3 раза в день, преднизолон в дозе 60 мл в сут в/в, допамин в/в капельно в дозе 100 млг/мин, искусственная вентиляция лёгких), состояние больного прогрессивно ухудшается, через несколько часов после поступления констатирована биологическая смерть.
Заключительный клинический диагноз
Диагноз основной: Коронавирусная инфекция, вызванная COVID-19, тяжёлая форма.
Осложнения основного заболевания: Двусторонняя вирусная интерстициальная пневмония (КТ-3; 74% поражения лёгочной паренхимы), тяжёлой степени. Дыхательная недостаточность 3-й степени. Шок.
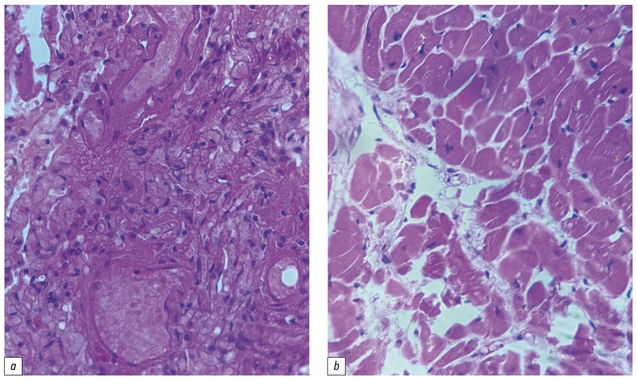
При секционном исследовании: лёгкие тяжёлые, полнокровные, отёчные, с поверхности разреза стекает пенистая жидкость, пониженной воздушности. Встречаются множественные кровоизлияния, разной величины ателектазы. Плевра тонкая, гладкая, с кровоизлияниями. Гистологически отмечаются очаговые ателектазы, имеющие разные размеры, отёк с большим количеством эритроцитов. Стазы в сосудах микроциркуляторного русла, серозно-геморрагический отёк, деструкция альвеолоцитов и лёгочных макрофагов (многие слущены в просветы альвеол) (рис. 1, a), эозинофильные мембраны из фибрина, выстилающие некоторые альвеолы, — гиалиновые мембраны. В просветах альвеол — кровь, аморфные бурые массы, очагово слущённый эпителий, крупноочаговый гнойный экссудат, отёчная жидкость, единичные гемосидерофаги.
В ткани сердца при гистологическом исследовании выявляются неравномерно кровенаполненные сосуды микроциркуляторного русла, фрагментация многих кардиомиоцитов, резкий межмышечный отёк (рис. 1, b). Отмечаются контрактуры миофибрилл, петехиальные, преимущественно субэндокардиальные кровоизлияния, дистрофические, некробиотические изменения кардиомицитов, небольшие очаги некроза.
Рис. 1. Микроскопическая картина: a — паретичного расширения сосудов, эритроцитарных сладжей в сосудах, дистелектаза альвеол, отёчной жидкости в просветах альвеол; b — интерстициального отёка, фрагментации и вакуолизации цитоплазмы кардиомиоцитов. Окраска гематоксилином и эозином, a — ×400; b — ×900.
Fig. 1. Microscopic picture: a — paretic vasodilation, erythrocyte sludge in the vessels, alveolar distelectasis, edematous fluid in the alveolar lumen; b — interstitial edema, fragmentation and vacuolization of the cytoplasm of cardiomyocytes. Staining with hematoxylin and eosin, a — ×400; b — ×900.
Результат вирусологического исследования секционного материала (лаборатория вирусологических исследований и диагностики особо опасных инфекций ФБУЗ «Центр гигиены и эпидемиологии в Чувашской Республике–Чувашии»): РНК коронавируса SARS CoV-2 обнаружена в ткани лёгкого, сердца). Результат микробиологического исследования ткани лёгкого (лаборатория БУ «Городская клиническая больница № 1» Минздрава Чувашии): массивный рост Staphylococcus aureus.
Патологоанатомический диагноз
Основное заболевание: Новая коронавирусная инфекция COVID-19 (РНК коронавируса SARS-CoV-2 обнаружена в лёгком).
Осложнения основного заболевания: Двусторонняя вирусная интерстициальная пневмония. Шоковые лёгкие и сердце. Острая респираторная недостаточность. Острый отёк легких.
ОБСУЖДЕНИЕ
В танатогенезе шока различают генерализованные нарушения перфузии с гипоксией органов и расстройствами клеточного метаболизма. Формируются серьёзные нарушения центральной гемодинамики, капиллярного кровообращения и критическое нарушение тканевой перфузии, повреждение клеток и органные расстройства. Повреждение тканей лёгких и отёк лёгких происходят как за счёт выброса большого количества провоспалительных субстанций (интерлейкин-1, фактор некроза опухоли-альфа) [1–3, 7] и экстравазации жидкости из сосудов (проницаемость сосудистой стенки повышается в условиях воспаления), так и вследствие гипоксемии. Принято считать, что шок обычно сопровождается синдромом диссеминированного внутрисосудистого свертывания с изменениями преимущественно в артериолах и капиллярах жизненно важных органов, особенно в лёгких и желудочно-кишечном тракте. Нередко возникают небольшие очаги некроза в аденогипофизе, надпочечниках и почках после тромбирования мелких сосудов [7].
В представленном случае после инфицирования SARS-CoV-2 возникли тяжёлые изменения в лёгких в виде «шоковых лёгких» и сердце по типу «шокового» с острой сердечной недостаточностью: неравномерное кровенаполнение сосудов микроциркуляторного русла, петехиальные, преимущественно субэндокардиальные кровоизлияния, дистрофические, некробиотические изменения кардиомицитов, небольшие очаги некроза, фрагментация кардиомиоцитов, межмышечный отёк.
Известно, что инфекционно-токсический шок чаще всего осложняет течение гнойно-воспалительных процессов, вызываемых грамотрицательной флорой. При разрушении этих бактерий выделяется эндотоксин, включающий пусковой механизм развития шока. Септический процесс, вызванный грамположительной флорой (энтерококком, стафилококком, стрептококком), осложняется шоком крайне редко.
В описываемом случае, помимо РНК коронавируса SARS-CoV-2, обнаружен массивный рост S. aureus, что демонстрирует развитие септического процесса под влиянием грамположительной флоры. Таким образом, развитие органно-системных повреждений при сепсисе связано с неконтролируемым распространением из первичного очага инфекционного воспаления провоспалительных медиаторов эндогенного происхождения с последующей активацией под их влиянием макрофагов, нейтрофилов, лимфоцитов, с вторичным выделением аналогичных эндогенных субстанций, с повреждением эндотелия и снижением органной перфузии и доставки кислорода. Диссеминация микроорганизмов способствовала выбросу провоспалительных цитокинов, что привело к развитию органных дисфункций.
ЗАКЛЮЧЕНИЕ
В описываемом случае у пациента развился инфекционно-токсический шок с тяжёлыми изменениями в лёгких и сердце на фоне инфекции SARS-CoV-2 в связи с присоединением и активацией бактериальной флоры вследствие нарушения барьерной функции эпителия лёгких из-за его полного разрушения. Следует отметить, что у больного наступил быстрый летальный исход из-за позднего поступления в стационар уже на фоне развившегося сепсиса.
ДОПОЛНИТЕЛЬНО
Источник финансирования. Автор заявляет об отсутствии внешнего финансирования при проведении работы.
Конфликт интересов. Автор декларирует отсутствие явных и потенциальных конфликтов интересов, связанных с публикацией настоящей статьи.
Информированное согласие на публикацию. Автор не смогла получить добровольное письменное согласие пациента на публикацию медицинских данных и фотографий ввиду тяжёлого состояния и последующей смерти пациента.
ADDITIONAL INFORMATION
Funding source. This article was not supported by any external sources of funding.
Competing interests. The author declares that she has no competing interests.
Consent for publication. The author was unable to obtain the voluntary written consent of the patient for the publication of medical data and photographs due to her severe condition and subsequent death.
About the authors
Olga V. Alpidovskaya
Chuvash State University named after I.N. Ulyanov
Author for correspondence.
Email: olavorobeva@mail.ru
ORCID iD: 0000-0003-3259-3691
MD, Cand. Sci. (Med.), Associate Professor
Russian Federation, 45 Moskovsky prospect, 428015 CheboksaryReferences
- Bitsadze VO, Khizroeva JK, Makatsariya AD, et al. COVID-19, septic shock and syndrome of disseminated intravascular coagulation syndrome. Part 1. Annals of the Russian Academy of Medical Sciences. 2020;75(2):118–128. (In Russ). doi: 10.15690/vramn1335
- Eisenreich W, Heesemann J, Rudel T, Goebel W. Metabolic host responses to infection by intracellular bacterial pathogens. Front Cell Infect Microbiol. 2013;3:24. doi: 10.3389/fcimb.2013.00024
- Zhang H, Zhou P, Wei Y, et al. Histopathologic changes and SARS-CoV-2 immunostaining in the lung of a patient with COVID-19. Ann Intern Med. 2020;172:629–632. doi: 10.7326/M20-0533
- Abdurahimov AKh, Khegay LN, Yusupova ShK. COVID-19 and its complications. Re-health Journal. 2021;4(12):61–74. Available at: https://cyberleninka.ru/article/n/covid-19-i-ego-oslozhneniya (In Russ). Accessed: 30.03.2023.
- Vorobeva OV. Changes in organs in COVID-19 infection with septicopyemia. Profilakticheskaya meditsina. 2021;24(10):89-93. (In Russ). doi: 10.17116/profmed20212410189
- Vorobeva OV, Romanova LP. A case of abscessed pneumonia due to COVID-19 infection in a young patient. Russian Journal of Infection and Immunity. 2022;12(4):779–783. (In Russ). doi: 10.15789/2220-7619-ACO-1582
- Dmitriev IV, Dorosevich AE, Abrosimov SJu. Features of shock pathomorphology. Bulletin of the Smolensk State Medical Academy. 2021;20(2):142–149. (In Russ). doi: 10.37903/vsgma.2021.2.20
Supplementary files



