Disseminated Kaposi’s sarcoma in patient with human immunodeficiency virus infection
- Authors: Bahteeva L.B.1, Sharaeva M.B.1,2, Khasanova G.R.1,3, Nagimova F.I.1
-
Affiliations:
- Republican Center for the Prevention and Fighting of AIDS and Infectious Diseases
- Republican Clinical Tuberculosis Hospital
- Kazan State Medical University
- Issue: Vol 28, No 4 (2023)
- Pages: 263-270
- Section: Case reports
- Submitted: 31.05.2023
- Accepted: 27.06.2023
- Published: 08.09.2023
- URL: https://rjeid.com/1560-9529/article/view/470358
- DOI: https://doi.org/10.17816/EID470358
- ID: 470358
Cite item
Abstract
Kaposi’s sarcoma is the most common acquired immunodeficiency syndrome-defining malignancy. With the introduction of highly active antiretroviral therapy into practice, the incidence of Kaposi’s sarcoma has declined significantly. However, cases associated with late diagnosis of HIV infection are still recorded. Herein, we present the clinical case of a patient with HIV infection and generalized Kaposi’s sarcoma with multiple lesions in the skin, mucous membranes, and organs. If the lesions in the skin and mucous membranes did not cause difficulties, distinguishing pulmonary lesions from disseminated tuberculosis and cytomegalovirus infection is difficult. Extremely severe Kaposi’s sarcoma with an unfavorable outcome is caused by severe immunosuppression and, apparently, an inflammatory immune reconstitution syndrome. In autopsy, in addition to the skin and oral mucosal lesions, foci in the epiglottis, larynx, trachea, lungs, colon, duodenum, peribronchial, mesenteric lymph nodes, liver, spleen, and lumbar muscles were noted. Diagnosing internal organ involvement in Kaposi’s sarcoma is not easy and requires the involvement of specialists in various fields.
Full Text
АКТУАЛЬНОСТЬ
Саркома Капоши (СК) — это многоочаговая сосудистая опухоль, вызванная вирусом герпеса 8-го типа. При естественном течении ВИЧ-инфекции СК является наиболее частым СПИД-индикаторным злокачественным новообразованием [1]. ВИЧ-ассоциированная СК поражает преимущественно кожу и слизистые оболочки. Возможно метастазирование в лёгкие, лимфатические узлы, головной мозг, органы желудочно-кишечного тракта [2, 3]. Поражение лёгких встречается в 20–50% случаев СК, при этом диагностируется при жизни лишь у 10–15% пациентов [4, 5]. Проблемными в плане возможности эффективного лечения становятся случаи СК, развившейся в рамках воспалительного синдрома восстановления иммунитета (ВСВИ). В этом случае через несколько недель-месяцев после начала антиретровирусной терапии (АРВТ) у пациента развивается СК, иногда характеризующаяся крайне агрессивным течением, висцеральными поражениями и высокими показателями летальности [6]. По данным Федерального научно-методического центра по борьбе со СПИД, доля СК в структуре всех СПИД-индикаторных заболеваний в Российской Федерации за 2021 год составила 1,2% [7].
Клинические и рентгенологические проявления висцеральной СК неспецифичны. Расшифровка синдрома лёгочной диссеминации у ВИЧ-инфицированных пациентов, особенно с тяжёлым иммунодефицитом, представляет значительные сложности. Более 20 инфекционных агентов, а также злокачественные новообразования, в том числе СК, и лимфопролиферативные заболевания могут вызывать диссеминированное поражение лёгких у больных с ВИЧ-инфекцией [8]. Симптомы лёгочной СК неспецифичны и проявляются одышкой, кашлем, лихорадкой и хрипами. У отдельных пациентов возможно кровохарканье. Хотя поражение лёгких неизменно следует за кожно-слизистыми симптомами, оно может не проявляться клинически [5]. Поражение лёгких при СК на компьютерной томографии описывается как двусторонние симметричные узелки, с нечёткими контурами, расходящиеся от корней лёгких (в виде языков пламени), или перибронховаскулярные, склонные к слиянию узлы, обычно более 1 см в диаметре. Возможны изменения по типу «матового стекла» вокруг узелков (симптом ореола), утолщение перибронховаскулярных тканей и междольковых перегородок, узловатость плевры в междолевых щелях, лимфаденопатия подмышечных областей, средостения, корней лёгких и плевральный выпот (часто). Диагноз устанавливают с помощью бронхоскопии, которая позволяет обычно увидеть вишнёво-красные узелки на стенках бронхов. В неоднозначных случаях проводится биопсия с последующим гистологическим исследованием образца ткани [9–11].
Поражение желудочно-кишечного тракта может иметь любую локализацию, встречается в 40% случаев СК [12]. Преимущественно заболевание протекает бессимптомно. В некоторых случаях отмечаются одинофагия, дисфагия, тошнота, рвота, боль в животе, гематемезис, гематохезия, мелена, кишечная непроходимость. Диагноз устанавливают с помощью фиброэзофагогастродуоденоскопии и колоноскопии на основании обнаружения геморрагических узелков, однако следует иметь в виду, что при локализации опухоли в подслизистом слое чувствительность инструментальных методов диагностики и биопсии значительно снижается [12, 13].
ОПИСАНИЕ СЛУЧАЯ
Больной 66 лет, обратился в ГАУЗ «Республиканский центр по профилактике и борьбе со СПИД и инфекционными заболевания Министерства здравоохранения Республики Татарстан» (Центр-СПИД) в сентябре 2020 года с жалобами на сыпь по всему телу, на конечностях и на лице.
Анамнез заболевания
Из анамнеза заболевания известно, что в феврале 2020 года пациент обращался и госпитализировался по поводу аллергического дерматита в городскую больницу, где впервые обнаружили антитела к ВИЧ. Пациент неоднократно приглашался эпидемиологами Центра-СПИД для повторного обследования на ВИЧ-инфекцию. В сентябре вновь обратился в кожно-венерологический диспансер, где была забрана сыворотка для подтверждения ВИЧ-инфекции. Дерматолог направил пациента на консультацию к онкологу и к врачу Центра-СПИД.
Анамнез жизни
Не женат, детей нет. Живёт с сестрой. Работал таксистом. Вредных привычек нет. Употребление психоактивных веществ, беспорядочные половые связи, гемотрансфузии отрицает. Туберкулёзом не болел, в тесном контакте с больными туберкулёзом не был. Из перенесённых заболеваний отмечает только острые респираторные заболевания.
Результаты физикального, лабораторного и инструментального обследования и динамика состояния пациента
Рост — 174 см, масса тела — 78 кг (индекс массы тела — 26 кг/м2). Температура тела — 36,6 °C. Состояние средней тяжести. Сознание ясное. Менингеальные симптомы отсутствуют. На коже туловища, конечностей, шеи определяются множественные бордового цвета бляшки от 0,5 до 4 см в диаметре, неправильной формы, несливающиеся (рис. 1). Видимые слизистые ротовой полости чистые, влажные. Периферические лимфатические узлы не увеличены. Над лёгочными полями выслушивается везикулярное дыхание, хрипы отсутствуют. Частота дыхательных движений — 18 в минуту, периферическая кислородная сатурация — 97%. Тоны сердца приглушены, ритмичные. Частота сердечных сокращений — 85 в минуту. Артериальное давление — 110/70 мм рт.ст. Живот при пальпации мягкий, безболезненный. Край печени на 1 см ниже края рёберной дуги, при пальпации болезненный, плотно-эластичный, гладкий. Селезёнка не пальпируется. Область почек при пальпации безболезненна, симптом поколачивания отрицательный. Периферических отёков нет.
Рис. 1. Поражение кожи элементами cаркомы Капоши.
Fig. 1. Skin involvement with Kaposi's sarcoma.
Выявлены значительное снижение CD4-лимфоцитов — до 4 клеток/мкл (0,7%), уровень вирусной нагрузки в полимеразной цепной реакции (ПЦР) — 340 100 копий/мл, гипоальбуминемия — до 30,5 г/л, азотемия (уровень мочевины — 8,19 ммоль/л), минимальный цитолиз [аланинаминотрансфераза (АЛТ) — 63 ЕД/л, аспартатаминотрансфераза (АСТ) — 49 ЕД/л]. Маркеры вирусных гепатитов не выявлены. Флюорографическое обследование — в лёгких без патологии.
Пациенту выставляется диагноз: ВИЧ-инфекция, стадия 4В, фаза прогрессирования на фоне отсутствия АРВТ. СК, кожная форма. Рекомендовано начало АРВТ, однако пациент за лекарствами не пришёл.
В следующий раз пациент пришёл в Центр-СПИД только через 2 месяца, в конце ноября 2020 года, с жалобами на кожный зуд в области бляшек. Ему была назначена химиопрофилактика туберкулёза и пневмоцистной пневмонии. 09.12.2020 была назначена АРВТ по схеме: тенофовир, ламивудин, долутегравир. 11.12.2020 проведена биопсия образования кожи передней брюшной стенки. Гистологическое исследование подтвердило СК. С 14.01.2021 онкологом-химиотерапевтом был назначен интерферон α2в в дозе 3 млн МЕ 3 раза в неделю внутримышечно.
В конце января, через 1,5 месяца после начала АРВТ, у пациента фиксируются жалобы: лихорадка до 39 °С, слабость, однократный эпизод потери сознания, забывчивость. При обследовании в Центре-СПИД выявлено повышение CD4-лимфоцитов до 60 клеток/мкл (8%) и минимальный цитолиз; РНК ВИЧ в ПЦР (с порогом чувствительности теста 50 копий/мл) и антиген криптококка в сыворотке крови не обнаружены. В сыворотке крови выявлена ДНК цитомегаловируса (ЦМВ) в концентрации 7390 копий/мл. Компьютерная томография органов грудной клетки (КТ ОГК) от 28.01.2021: в обоих лёгких полисегментарно визуализируются многочисленные диссеминированные очаги уплотнения лёгочной ткани с нечёткими контурами размерами до 5 мм. С учётом подозрения на туберкулёз лёгких пациент госпитализируется в ГАУЗ «Республиканский клинический противотуберкулёзный диспансер» (РКПД). К вышеописанным жалобам присоединились одышка при незначительной физической нагрузке, потливость, кашель с отхождением мокроты.
Объективный статус при госпитализации в РКПД
Состояние средней степени тяжести за счёт интоксикационного синдрома, распространённого процесса с элементами СК на коже и слизистой полости рта. Температура тела — 39 °С. Сознание ясное. Менингеальные симптомы отсутствуют. Кожные покровы физиологической окраски; по всему телу, на конечностях, в области верхнего и нижнего век обоих глаз багрово-синюшные, фиолетовые узлы различной формы, размером от 1 до 5 см. На стопах — гиперкератоз и периферические отёки. На слизистой оболочке полости рта — фиолетовые пятна и узлы в области мягкого нёба, дёсен, щёк, дна полости рта, языка. Язык влажный, обложен белым налётом. Подмышечные лимфатические узлы увеличены до 1 см в диаметре, плотные. Грудная клетка правильной формы. Лёгочный перкуторный звук, жёсткое дыхание, хрипы отсутствуют. Частота дыхательных движений — 20 в минуту, периферическая кислородная сатурация — 92%. Тоны сердца приглушены, ритмичные. Частота сердечных сокращений — 103 в минуту. Артериальное давление — 110/70 мм рт.ст. Живот при пальпации мягкий, безболезненный. Край печени на 1 см ниже края рёберной дуги, при пальпации болезненный, плотно-эластичный, гладкий. Селезёнка не пальпируется. Область почек при пальпации безболезненная, симптом поколачивания отрицательный. Физиологические отправления в норме.
На основании клинических проявлений (лихорадка, кашель, одышка) и данных КТ ОГК был заподозрен диссеминированный туберкулёз лёгких на фоне активации цитомегаловирусной инфекции и прогрессирования СК как проявления ВСВИ.
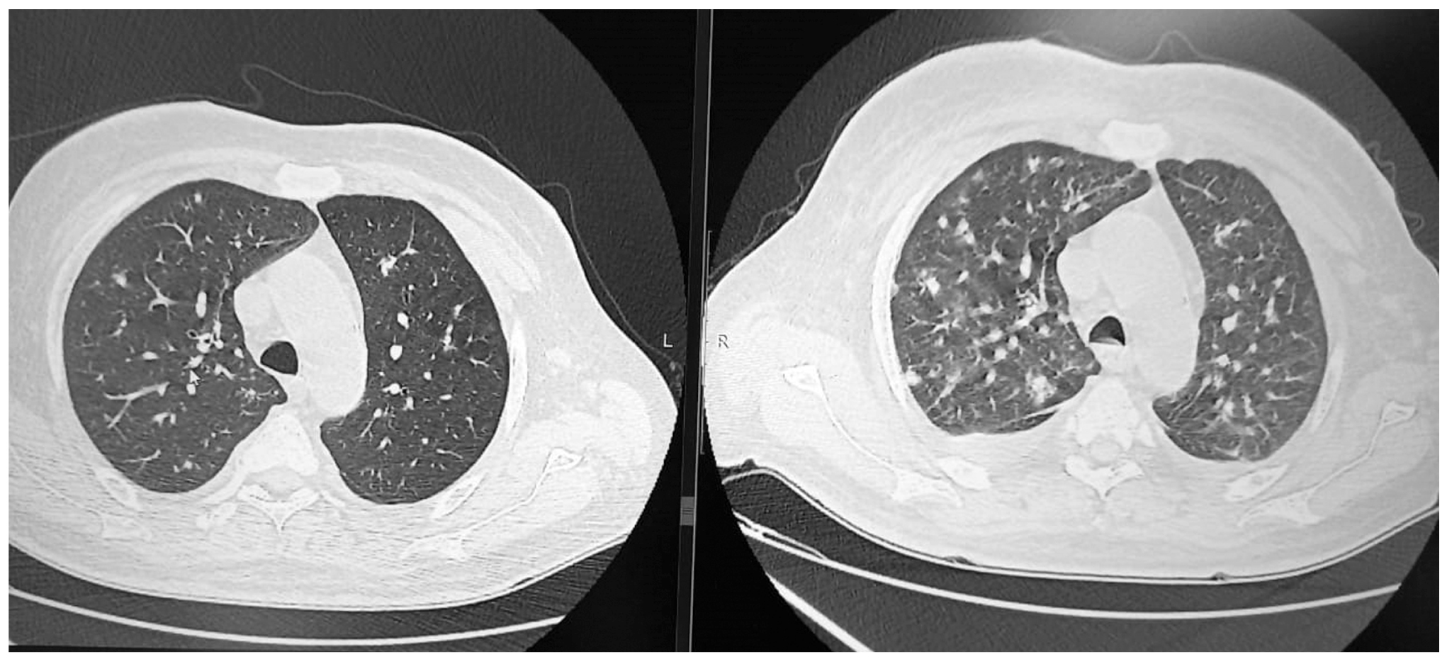
Повторная КТ ОГК от 08.02.2021: справа и слева во всех сегментах лёгких множество полиморфных очагов (рис. 2, слева). Увеличение подмышечных лимфатических узлов до 15×7 мм.
В мокроте методом бактериоскопии кислотоустойчивые микроорганизмы / микобактерии туберкулёза не обнаружены. Материал направлен на исследование на туберкулёзные и атипичные микобактерии бактериологическим методом. В аспирате из бронхов методом ПЦР ДНК микобактерии туберкулёза также не обнаружена.
По данным фибробронхоскопии, патология трахеобронхиального дерева не обнаружена. Ультразвуковое исследование органов брюшной полости выявило гепатоспленомегалию, небольшой асцит.
Назначена противотуберкулёзная терапия (ПТТ) изониазидом, рифабутином, этамбутолом, пиразинамидом. Продолжены профилактика пневмоцистной пневмонии (ко-тримоксазол в дозе 480 мг в сутки) и АРВТ по прежней схеме. На фоне ПТТ развились симптомы токсического гепатита, появилась отёчность периорбитальной области. После назначения инфузионной терапии, гепатопротекторов, сорбентов явления токсического гепатита уменьшились. С 19.02.2021 к терапии добавлен ганцикловир в дозе 5 мг/кг 2 раза в сутки. Однако, несмотря на ПТТ и прием ганцикловира, сохранялась лихорадка на фебрильных цифрах. Повторная КТ ОГК от 26.02.2021 выявила увеличение количества очагов в нижних отделах, а также жидкость в плевральных полостях с обеих сторон (рис. 2, справа). Рентгенологическая картина расценена в пользу поражения лёгких СК в сочетании с пневмонией, вызванной ЦМВ. После получения данных КТ ОГК, а также в связи с отсутствием клинического и рентгенологического эффекта ПТТ была отменена. На 12-й день лечения ганцикловиром у пациента вновь появились симптомы токсического гепатита, печёночно-клеточной недостаточности (снижение протромбинового индекса до 70%, гипербилирубинемия до 59 мкмоль/л, в том числе 10 мкмоль/л за счёт прямого билирубина, повышение показателей цитолиза: АЛТ — 100 ЕД/л, АСТ — 89 ЕД/л), а также развилась лейкопения до 1,9×109/л, анемия средней степени тяжести (Hb — 85 г/л) и тромбоцитопения до 127×109/л. В связи с развитием печёночно-клеточной недостаточности, панцитопении было принято решение отменить ганцикловир и ко-тримоксазол. АРВТ пациент продолжал принимать. На фоне дезинтоксикационной инфузионной терапии у пациента отмечалось улучшение самочувствия и показателей общего анализа крови и функциональных проб печени, однако было отмечено снижение CD4-лимфоцитов до уровня 23 клеток/мкл. Также стало заметным прогрессирование внешних признаков СК: появились новые элементы, увеличились в размерах уже имеющиеся узлы.
Рис. 2. Результаты КТ ОГК от 08.02.2021 (слева) и 26.02.2021 (справа).
Fig. 2. The results of CT scan of the chest organs dated 08.02.2021 (left) and 26.02.2021 (right).
09.03.2021 у пациента зафиксирована неврологическая симптоматика с развитием дизартрии, слабости, судорожных подергиваний в левой руке, тремора, снижения мышечной силы в левой руке. Пациент был консультирован неврологом, и выставлен предварительный диагноз: Ишемический инсульт в бассейне правой среднемозговой артерии в форме общемозгового синдрома. Эпилептический приступ.
Проведена люмбальная пункция. Анализ ликвора: ликвор мутный, плеоцитоз 8 клеток/мкл, преобладание лимфоцитов, повышение белка до 2 г/л, реакция Нонне–Апельта — «+», реакция Панди — «++». Было проведено исследование ликвора для выявления антигенов и ДНК возбудителей оппортунистических инфекций (Cryptococcus neoformans, Toxoplasma gondii, ЦМВ, вирусы простого герпеса 1-го и 2-го типов), посев на микрофлору и микроскопия с окраской по Цилю–Нильсону для выявления микобактерий туберкулёза. Все результаты были отрицательными.
Было назначено симптоматическое лечение.
Смерть больного наступила 11.03.2021.
Заключительный клинический диагноз: ВИЧ-инфекция, стадия 4В-5 (СПИД), в фазе прогрессирования на фоне АРВТ, с множественными оппортунистическими заболеваниями: генерализованная СК, манифестная цитомегаловирусная инфекция с поражением лёгких. ВИЧ-ассоциированное нейрокогнитивное расстройство? Осложнения: Отёк лёгких. Анасарка. Анемия тяжёлой степени.
Патолого-анатомический диагноз
Основное заболевание: ВИЧ-инфекция, 4В-5 (СПИД) (иммуноферментный анализ положительный от 26.02.2020, 27.02.2020, 10.09.2020, иммунный блоттинг положительный от 28.02.2020, 01.09.2020), фаза прогрессирования на фоне АРВТ.
Вторичные (ВИЧ-ассоциированные заболевания): 1. Генерализованная СК с поражением кожи, слизистой оболочки нижнего века обоих глаз, слизистой оболочки полости рта, языка, надгортанника, гортани, трахеи, лёгких, стенки желудка, двенадцатиперстной кишки, перибронхиальных, брыжеечных лимфоузлов, печени, селезёнки, поясничных мышц (рис. 3, 4). 2. ВИЧ-ассоциированная энцефалопатия (клинически).
Рис. 3. Элементы саркомы Капоши в области лёгких, трахеи, языка (данные аутопсии).
Fig. 3. Elements of Kaposi's sarcoma in the lungs, trachea, tongue (autopsy data).
Рис. 4. Элементы саркомы Капоши в брыжеечных лимфатических узлах (данные аутопсии).
Fig. 4. Elements of Kaposi's sarcoma in the mesenteric lymph nodes (autopsy data).
Осложнения основного заболевания: Двусторонняя очаговая гнойная бронхопневмония. Отёк лёгких. Отёк головного мозга. Анасарка. Паренхиматозная дистрофия печени, почек. Очаговый некронефроз.
Сопутствующие заболевания: Хронический гепатит умеренной степени активности. Хронический гастрит. Язвы верхней трети пищевода.
ОБСУЖДЕНИЕ
В данном примере описан случай неблагоприятного исхода ВИЧ-инфекции у пациента с чрезвычайно поздней диагностикой заболевания. Следствием поздней диагностики и отсутствия лечения явилось развитие тяжёлого оппортунистического заболевания в виде генерализованной СК. В представленном клиническом случае были трудности при проведении дифференциальной диагностики множественных очагов в лёгких. У пациента ухудшилось состояние через 1,5 месяца от начала АРВТ на фоне увеличения CD4-лимфоцитов, что укладывается в ВСВИ. В перечень диагнозов для дифференциальной диагностики был внесён туберкулёз, манифестная цитомегаловирусная инфекция и СК лёгких. Подозрение на туберкулёз было вполне оправданным с учётом огромной доли туберкулёза в структуре оппортунистических инфекций у пациентов с ВИЧ-инфекцией [14] и наличия у пациента характерной для диссеминированного туберкулёзного поражения лёгких рентгенологической картины. Цитомегаловирусная инфекция была заподозрена на основе клинических симптомов (лихорадка, пневмония, панцитопения у пациента с низким уровнем CD4-клеток), а также выделения ЦМВ в достаточно высокой концентрации, позволяющей предположить органное поражение этим вирусом.
Такое агрессивное течение опухолевого процесса можно объяснить несколькими факторами. Во-первых, возможно, в данном случае имел место ВСВИ, что привело и к висцеральному поражению СК. Во-вторых, возможно также и то, что элементы СК в лёгких присутствовали изначально, но не были выявлены при проведении флюорографического исследования лёгких ввиду недостаточной чувствительности метода. В-третьих, у больного сохранялся тяжёлый иммунодефицит, на фоне которого возможно прогрессирование вторичного заболевания в течение первых 3 месяцев от начала АРВТ. Онкологом-химиотерапевтом была назначена малоэффективная терапия СК в виде интерферона α2в внутримышечно, что также могло быть причиной прогрессирования заболевания. С учётом высокой частоты поражения лёгких у больных с кожными проявлениями СК, по-видимому, необходимо рекомендовать им проведение КТ ОГК, а не флюорографии лёгких. В соответствии с данными литературы висцеральная СК, как правило, диагностируется посмертно [15].
ЗАКЛЮЧЕНИЕ
Данный случай демонстрирует необходимость разносторонней активности медицинских работников и общественных организаций в направлении максимального охвата населения тестированием с целью своевременной диагностики и лечения ВИЧ-инфекции, что позволит предупредить подобные случаи, возможные лишь на фоне нелеченой ВИЧ-инфекции. Очевидны также трудности диагностики различных синдромов у пациентов на стадии СПИД ввиду того, что симптоматика зачастую неспецифична и может быть проявлением разных заболеваний. Более того, у пациентов с ВИЧ-инфекцией на фоне выраженной депрессии и дисрегуляции иммунной системы возможно одновременное наличие различных оппортунистических инфекций и новообразований. В связи с этим целесообразно привлечение к диагностике и лечению таких пациентов врачей различных специальностей.
ДОПОЛНИТЕЛЬНО
Источник финансирования. Авторы заявляют об отсутствии внешнего финансирования при проведении работы.
Конфликт интересов. Авторы декларируют отсутствие явных и потенциальных конфликтов интересов, связанных с публикацией настоящей статьи.
Вклад авторов. Все авторы подтверждают соответствие своего авторства международным критериям ICMJE (все авторы внесли существенный вклад в разработку концепции, проведение работы и подготовку статьи, прочли и одобрили финальную версию перед публикацией). Вклад распределён следующим образом: М.Б. Шараева — курация пациента, выбор первичных данных из истории болезни пациента; Л.Б. Бахтеева — обзор источников литературы, написание и редактирование текста статьи; Г.Р. Хасанова — написание и редактирование текста статьи, подготовка статьи к публикации; Ф.И. Нагимова — редактирование текста статьи.
Информированное согласие на публикацию. Письменное согласие пациента на публикацию медицинских данных и фотографий в журнале «Эпидемиология и инфекционные болезни» получить не удалось по причине смерти пациента.
ADDITIONAL INFORMATION
Funding source. This article was not supported by any external sources of funding.
Competing interests. The authors declare that they have no competing interests.
Authors’ contribution. All authors made a substantial contribution to the conception of the work, acquisition, analysis, interpretation of data for the work, drafting and revising the work, final approval of the version to be published and agree to be accountable for all aspects of the work. M.B. Sharaeva — supervising the patient, collection of primary data from the patient’s medical history; L.B. Bakhteeva — review of literature sources, writing and editing of the article; G.R. Khasanova — writing and editing the article, preparing it for publication; F.I. Nagimova — editing the article.
Consent for publication. Written consent from the patient for publication of relevant medical information and all of accompanying images within the manuscript in “Epidemiology and Infectional disease Journal” could not be obtained due to the death of the patient.
About the authors
Liliya B. Bahteeva
Republican Center for the Prevention and Fighting of AIDS and Infectious Diseases
Email: chulpan190885@mail.ru
ORCID iD: 0000-0003-4282-9119
SPIN-code: 5149-0917
MD, Cand. Sci. (Med.)
Russian Federation, KazanMaya B. Sharaeva
Republican Center for the Prevention and Fighting of AIDS and Infectious Diseases; Republican Clinical Tuberculosis Hospital
Email: sharaeva1972@mail.ru
ORCID iD: 0009-0007-0418-2330
Russian Federation, Kazan; Kazan
Gulshat R. Khasanova
Republican Center for the Prevention and Fighting of AIDS and Infectious Diseases; Kazan State Medical University
Email: gulshatra@mail.ru
ORCID iD: 0000-0002-1733-2576
SPIN-code: 6704-2840
MD, Dr. Sci. (Med.), Professor
Russian Federation, Kazan; KazanFiraya I. Nagimova
Republican Center for the Prevention and Fighting of AIDS and Infectious Diseases
Author for correspondence.
Email: nagimova@list.ru
ORCID iD: 0000-0002-5703-6712
SPIN-code: 1585-0874
MD, Cand. Sci. (Med.)
Russian Federation, KazanReferences
- Shiels MS, Pfeiffer RM, Gail MH, et al. Cancer burden in the HIV-infected population in the United States. Journal of the National Cancer Institute. 2011;103(9):753–762. doi: 10.1093/jnci/djr076
- Altfeld M, Behrens G, Braun P, et al. HIV 2014/15. Hoffmann Ch, Rockstroh J, editors. Hamburg: Medizin Fokus; 2015. (In Russ).
- Curtiss P, Strazzulla LC, Friedman-Kien AE. An update on Kaposi’s sarcoma: epidemiology, pathogenesis and treatment. Dermatology and Therapy. 2016;6(4):465–470. doi: 10.1007/s13555-016-0152-3
- Alwassia A, Alshathri Z, Khosla R, Spagnolo SV. Pulmonary Kaposi sarcoma presenting as complete lung consolidation. British Medical Journal Case Reports. 2017;2017:bcr2016219048. doi: 10.1136/bcr-2016-219048
- Fardin RB, Leite LAC, Bezerra LMDS, et al. Fatal disseminated Kaposi’s Sarcoma in two patients with human immunodeficiency virus (HIV) infection. The American Journal of Case Reports. 2018;19:868–874. doi: 10.12659/AJCR.910004
- Letang E, Lewis JJ, Bower M, et al. Immune reconstitution inflammatory syndrome associated with Kaposi sarcoma: higher incidence and mortality in Africa than in the UK. AIDS. 2013;27(10):1603–1613. doi: 10.1097/QAD.0b013e328360a5a1
- Pokrovskiy VV, Ladnaya NN, Sokolova EV; Specialized research department for the prevention and control of AIDS of Federal Budgetary Institution of Science “Central Research Institute of Epidemiology”. HIV-infection: Informatsionnyy byulleten № 47. Moscow; 2023. (In Russ).
- Viktorova IB, Zimina VN, Kravchenko AV, Khanin AL. Disseminated lung diseases in patients with different HIV status. Kochetkov SYu, editor. Moscow: GEOTAR-Media; 2017. (In Russ).
- Chou SH, Prabhu SJ, Crothers K, et al. Thoracic diseases associated with HIV infection in the era of antiretroviral therapy: clinical and imaging findings. Radiographics. 2014;34(4):895–911. doi: 10.1148/rg.344130115
- Khattak M. Bilateral Chest X-Ray Shadowing and Bilateral leg lesions — A case of Pulmonary Kaposi Sarcoma. Webmedcentral. 2016;7(2):WMC005051. Available at: https://www.ncbi.nlm.nih.gov/pmc/articles/PMC4880371/. Accessed: 27.05.2023.
- Edinburgh KJ, Jasmer RM, Huang L, et al. Multiple pulmonary nodules in AIDS: usefulness of CT in distinguishing among potential causes. Radiology. 2000;214(2):427–432. doi: 10.1148/radiology.214.2.r00fe22427
- Pokrovskiy VV, editor. Lectures on HIV. Moscow: GEOTAR-Media; 2018. (In Russ).
- Arora M, Goldberg EM. Kaposi sarcoma involving the gastrointestinal tract. Gastroenterology and Hepatology. 2010; 6(7):459–462.
- The Centers for Disease Control and Prevention, the National Institutes of Health, and the HIV Medicine Association of the Infectious Diseases Society of America. Guidelines for the Prevention and Treatment of Opportunistic Infections in Adults and Adolescents with HIV. 2022. Available at: https://clinicalinfo.hiv.gov/en/guidelines/adult-and-adolescent-opportunistic-infection
- Lee AJ, Brenner L, Mourad B, et al. Gastrointestinal Kaposi’s sarcoma: case report and review of the literature. World Journal of Gastrointestinal Pharmacology and Therapeutics. 2015;6(3):89–95. doi: 10.4292/wjgpt.v6.i3.89
Supplementary files







